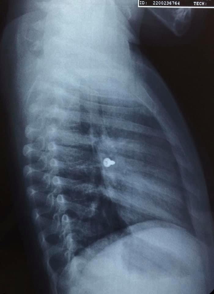
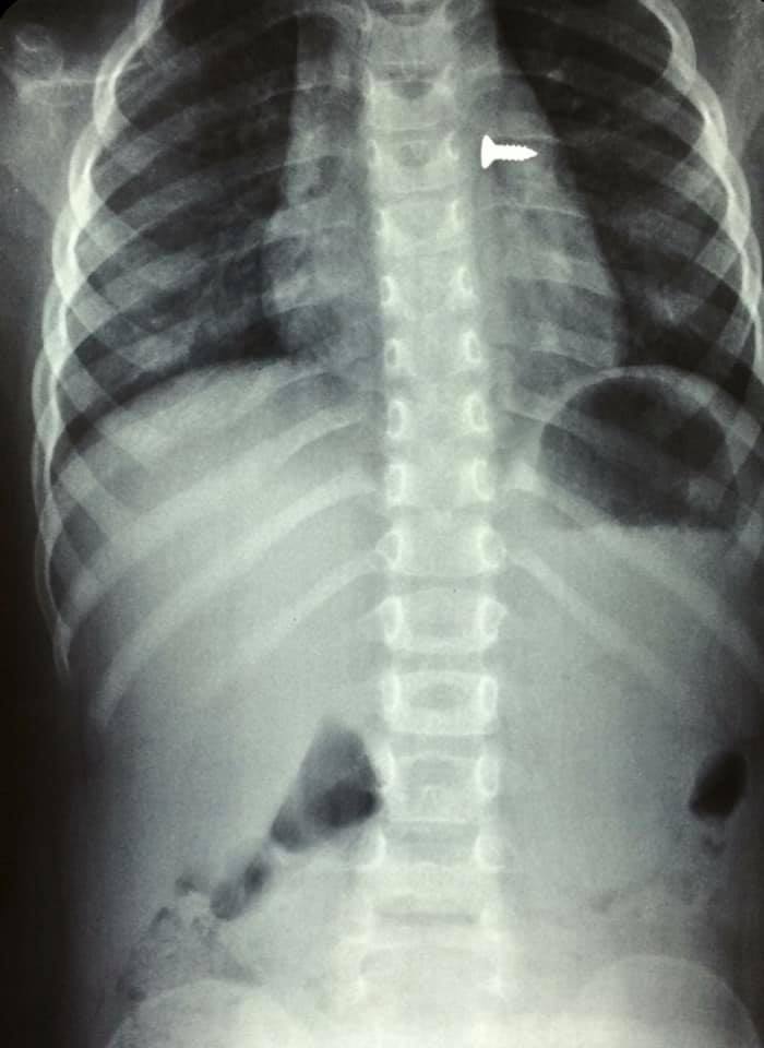
Μία βίδα κατάπιε ένα κοριτσάκι στην Κρήτη, με συνέπεια να καταλήξει στον αριστερό του πνεύμονα..
Σύμφωνα με τα όσα έκανε γνωστά ο αναπληρωτής καθηγητής ΩΡΛ της Ιατρικής Σχολής Κρήτης, Μανώλης Προκοπάκης, την Τρίτη μεταφέρθηκε σε νοσοκομείο του Ηρακλείου ένα τρίχρονο κορίτσι το οποίο κατάπιε μία βίδα.

Αμέσως έβγαλε ακτινογραφίες, που έδειξαν πως η βίδα βρισκόταν στον αριστερό του πνεύμονα, με τις εικόνες να είναι σοκαριστικές.
Οι γιατροί οδήγησαν το κορίτσι στο χειρουργείο και μετά από αρκετή ώρα κατάφεραν να αφαιρέσουν την βίδα.

Ο κ. Προκοπάκης σε ανάρτησή του στα social media ανέφερε: «Πολύ επείγον χειρουργείο! Πριν από λίγο. Αφαίρεση βίδας από αριστερό βρογχικό δέντρο τρίχρονου κοριτσιού. Πολύ επικίνδυνο…».

Δείτε την ανάρτηση του γιατρού:

